MENGENAL LEBIH DEKAT GIANT OOCYTE
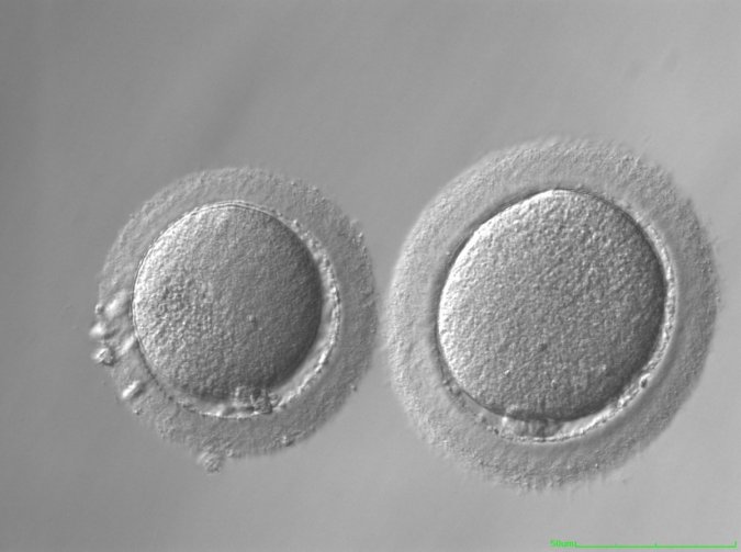
Apa Itu Giant Oocyte? Secara umum, oosit manusia yang matur memiliki bentuk bulat dengan ukuran rata-rata 120 µm. Namun faktanya, terkadang ditemukan oosit dengan morfologi ataupun ukuran yang berbeda dengan…
E-NEWS “ESHRE HIGHLIGHT” Keynote Lecture -Non-invasive prenatal testing (NIPT) – state of the art
Y. Lo 1 . 1The Chinese University of Hong Kong, Li Ka Shing Institute of Health Sciences Prince of Wales Hospital, Shatin- New Territories, Hong Kong. Abstract We explored the…
E-NEWS “ESHRE HIGHLIGHT” Human Reproduction keynote lecture – Autologous cell therapy with CD133+ bone marrow-derived stem cells for refractory Asherman’s syndrome and endometrial atrophy: a pilot
Human Reproduction keynote lecture Autologous cell therapy with CD133+ bone marrow-derived stem cells for refractory Asherman’s syndrome and endometrial atrophy: a pilot cohort study Xavier Santamari?a, Sergio Cabanillas, Irene Cervello?,…
The 6th Congress of the Asia Pacific Initiative on Reproduction
By the decision of ASPIRE 2012 General Assembly, Jakarta (Indonesia) is going to be the host of The 6th ASPIRE Congress 2016. The preparation of this event will be prepared…
Report from ASPIRE 2012, Osaka, Japan
The 4thAsia Pacific Initiative on Reproduction (ASPIRE) Congress was held in Osaka International Convention Center, Osaka, Japan, from the 31st of August until September 2nd, 2012. The event was organized…
IAIVF Scientific Meeting 2014
Continuing the 1st IAIVF Congress 2012 that was held in Jakarta, the second big event by IAIVF planned to be held in Bandung, West Java, with the main theme “Through…








